– Clínica Dental en Chamberí
La enfermedad de las encías afecta al 90% de la población y es la primera causa de pérdida de dientes. En Dentylife la detectamos, la tratamos y te acompañamos en el mantenimiento para que no vuelva a aparecer.
años de
experiencia
Google
reviews
Satisfacción
de clientes
Diagnóstico completo y con total dedicación.
Facilidades de pago adaptadas.
Un equipo profesional y comprometido.
Utilizamos las últimas herramientas
EL TRATAMIENTO
La periodoncia es la especialidad dental que se ocupa de la prevención, diagnóstico y tratamiento de las enfermedades que afectan a las encías y a las estructuras de soporte de los dientes.
En Dentylife ofrecemos un tratamiento integral de la enfermedad periodontal, desde el diagnóstico inicial hasta el mantenimiento a largo plazo, utilizando los últimos avances en instrumentación ultrasónica y técnicas de regeneración ósea.

«La periodoncia no es solo tratar las encías, es proteger los dientes de por vida.»
– Equipo de Dentylife
NUESTROS TRATAMIENTOS DE PERIODONCIA
Cada tratamiento está diseñado para adaptarse a tu caso, tu estilo de vida y tus objetivos. Te asesoramos sin compromiso.
La forma más leve de la enfermedad periodontal. Afecta únicamente a las encías, provocando enrojecimiento, inflamación y sangrado al cepillado. Tiene solución con un tratamiento de desinfección profesional y una buena higiene en casa.
Más frecuenteCuando la enfermedad avanza y afecta también al hueso de soporte de los dientes. Requiere raspado y alisado radicular profundo. En casos moderados o avanzados puede ser necesaria cirugía periodontal para acceder al fondo de las bolsas.
Requiere tratamientoUna vez estabilizada la enfermedad, las revisiones periódicas cada 3-6 meses son imprescindibles para prevenir recaídas. La periodoncia es una enfermedad crónica — el mantenimiento es parte esencial del tratamiento a largo plazo.
Crónico y controlableCÓMO FUNCIONA
Un tratamiento planificado con precisión desde el primer día hasta la sonrisa final.
Revisión completa del estado de encías y hueso con sondaje periodontal y radiografías. Evaluamos la profundidad de las bolsas y la pérdida ósea.
Eliminamos el sarro y las bacterias acumuladas alrededor de los dientes y en el interior de las bolsas periodontales mediante instrumentos ultrasónicos y manuales.
A las 6-8 semanas revisamos la respuesta al tratamiento. En casos moderados o avanzados valoramos si es necesaria cirugía periodontal o técnicas de regeneración ósea.
Visitas de control cada 3-6 meses para prevenir recaídas y mantener la enfermedad estabilizada a largo plazo.
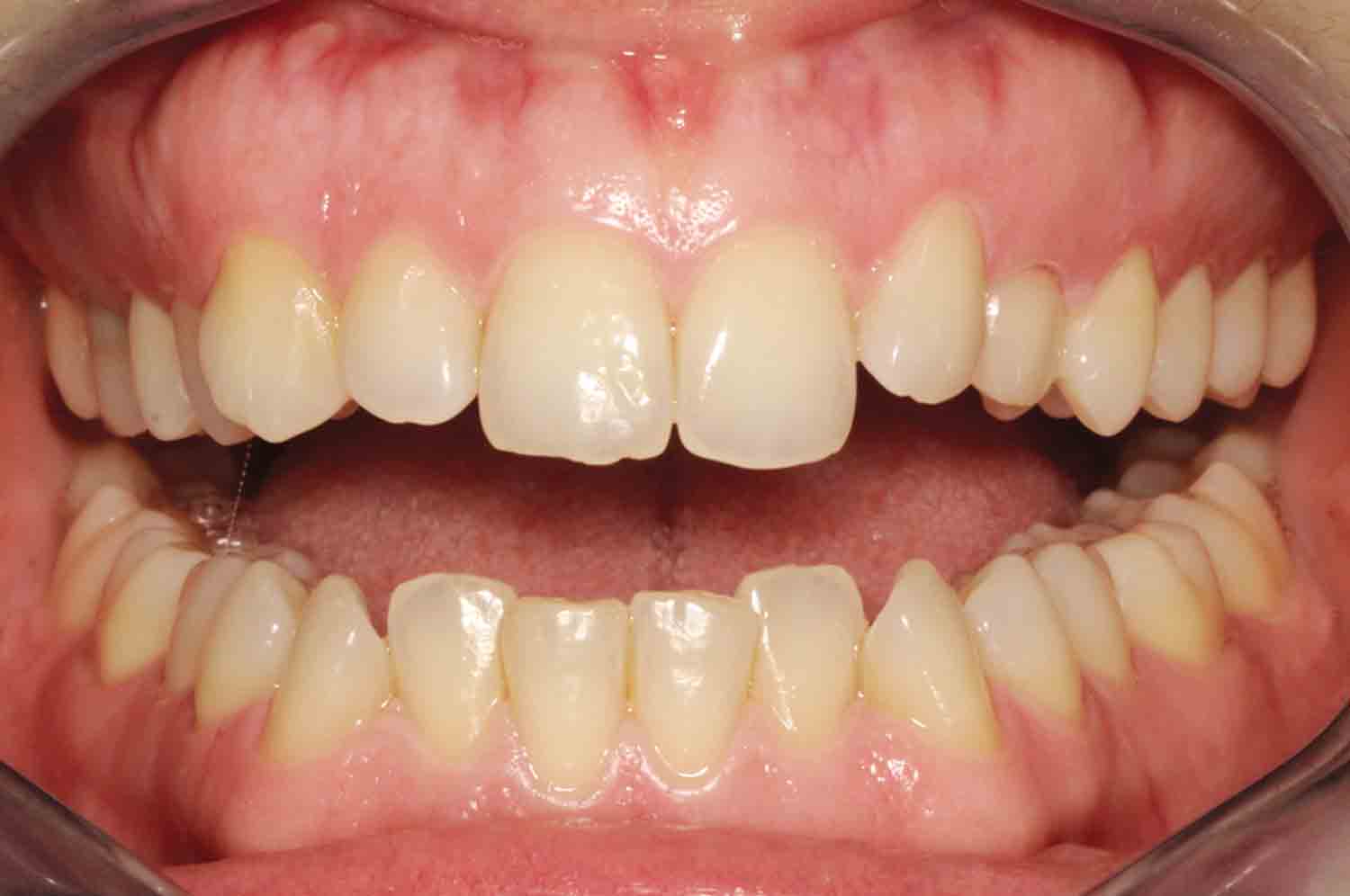
RESULTADOS REALES
Casos reales de pacientes con tratamientos en Dentylife.


LO QUE DICEN
Son un equipo de gente espectacular. Me ofrecieron una alternativa muy buena a una ortodoncia compleja y he quedado muy contento. Sara es una profesional enorme, te sientes genial gestionando ella tu caso. Recomiendo sin duda!
Reseña verificada de Google
Comienzo mi tratamiento en Dentylife, no puedo estar más contenta, el trato del personal ha sido excepcional desde el primer momento. Sara y el resto de profesionales me han hecho sentirme segura y con muchas ganas de empezar.
Reseña verificada de Google
He acabado mi tratamiento de ortodoncia y no puedo estar más feliz. Siempre me han tratado con mucha amabilidad y cariño, eso me daba calma y confianza en cada visita. Los empastes y blanqueamiento final, ha ido igual de bien que todo lo anterior. Muchas gracias por todo. Lo recomiendo 100%
Reseña verificada de Google